radiographer

방사선사 사이트 입니다.

  • 2024. 3. 7.

    by. radiographer

    목차

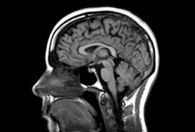
       자기공명영상(MRI) 검사는 현대 의학에서 중요한 진단 도구 중 하나로, 강력한 자기장과 고주파 중 라디오파를 이용해 인체 내부의 상세한 이미지를 만들어내는 방법입니다. X-ray나 CT와 달리 방사선을 사용하지 않기 때문에, 반복적인 검사가 필요한 환자에게 특히 유용합니다. 또한, 연부조직에 대한 대조도와 해상도가 우수하여 뇌, 관절, 척추와 같은 부분의 병변을 정밀하게 확인할 수 있다는 장점이 있습니다.

      자기공명영상(MRI)
      자기공명영상(MRI)

      자기공명영상(MRI) 검사의 원리

       MRI(Magnetic Resonance Imaging)라고 불리는 자기 공명 영상 촬영은 1980년대 중반부터 임상적으로 사용되었습니다. 
       자기공명영상(MRI) 검사의 원리는 핵자기공명(NMR) 원리를 응용한 것으로, 수소 원자의 자기적 특성을 이용해 인체의 다양한 조직을 시각적으로 재현하는 데 사용됩니다. 인체의 70% 가까이가 수소를 포함한 물로 구성되어 있다는 사실에서 출발하며, 수소 원자 내의 원자핵, 즉 양성자가 MRI 검사의 중심에 있습니다. MRI 스캐너는 강력한 자석으로 구성되어 있으며, 이 자석은 적용되는 전자기장 내에서 양성자들을 일정한 방향으로 정렬시키는 기능을 합니다. 양성자들은 외부 자기장에 의해 정렬되었다가, 고주파 전자기 파동이 적용될 때 일시적으로 이 정렬이 방해받게 됩니다. 고주파 신호가 꺼지면 양성자들이 다시 자기장에 정렬되며 이 과정에서 에너지를 방출하게 되는데, 이 에너지가 바로 MRI를 통해 이미지화 하는 데 필요한 신호입니다. 각 조직의 수소 원자핵은 주변 환경의 특성에 따라 다른 패턴으로 에너지를 방출하므로, 이 신호를 분석함으로써 각 조직을 구별할 수 있습니다. 스캐너는 이 신호들을 수집하여 디지털 정보로 전환하고, 컴퓨터는 이 정보를 사용해 인체 조직의 상세한 영상으로 변환합니다. 
       자기공명영상(MRI) 검사는 특히 연부조직의 구분이 중요할 때 매우 유용한데, 고해상도로 근육, 인대, 뇌와 같은 조직의 시각화를 가능하게 하며, 병변이나 이상을 파악하는 데 도움을 줍니다. MRI는 다양한 방향에서 영상을 얻을 수 있어, 특정 방향으로만 이미지 취득이 가능한 CT나 X-ray보다 더 유연하다는 장점도 가지고 있습니다. 또한, 조영제를 사용하지 않고도 혈관의 영상을 얻을 수 있으며, MRI를 통한 혈관 영상은 동맥류나 혈전과 같은 질병 진단에도 유용합니다.

      자기공명영상(MRI) 검사의 종류

       뇌, 척추, 관절 등 특정 부위의 이미지를 촬영하는 구역별 MRI 검사와, 특정 기능을 시각화하기 위해 특정 작업을 수행할 때의 이미지를 제공하는 기능성 MRI 그리고 혈관의 형태와 혈류를 시각화하는 혈관성 MRI 검사가 있습니다. 

      적응증

       자기공명영상(MRI) 검사의 대상은 매우 다양한데, 몇 가지 대표적인 예를 들면 다음과 같습니다. 뇌출혈, 뇌경색, 뇌종양 등의 뇌 질환과 디스크 탈출이나 퇴행성 척추 질환의 진단에는 거의 필수적인 검사 방법이며, 무릎, 어깨, 손목, 발목, 팔꿈치 등 관절의 이상, 스포츠 관련 외상, 골수염, 무혈성 괴사 등의 진단에도 필요한 검사입니다. 선천성 심장 질환, 심근경색증, 간의 종양, 사지의 종양, 종격동 질환, 두경부의 염증이나 종양의 진단에서도 자기공명영상(MRI) 검사가 필요하며, 오래전부터 자기공명영상(MRI)을 이용한 혈관조영술이 가능하여 과거에 침습적인 방법으로 검사하던 혈관조영술 방식을 대체하기도 하였습니다.

      검사 전 준비 사항

       자기공명영상(MRI)은 강한 자석을 사용하므로 금속 물질이 있는 경우 검사를 받을 수 없습니다. 따라서 귀금속, 시계, 틀니, 보청기, 신용카드, 열쇠, 가발 등 금속성 물질이나 전자파로 손상이 될 수 있는 물건은 미리 제거해야 합니다. 또한 심장 박동기, 신경자극기, 달팽이관 이식을 받은 환자들은 MRI 검사를 받을 시 위험할 수 있으므로 반드시 의사와 상의해야 합니다. 
       자기공명영상(MRI)은 좁은 공간에서 이루어지는 검사이므로 폐소공포증이 있는 사람은 검사를 힘들어할 수 있습니다. 필요한 경우, 진정제를 투여해 검사를 진행하기도 합니다.
       마지막으로, 자기공명영상(MRI) 검사는 임신 중인 여성에게도 특별한 주의가 필요합니다. 초기 임신 기간에 MRI 검사를 받는 것이 태아에게 위험할 수도 있기 때문에, 의사와 충분히 상담한 후에 검사를 진행하는 것을 권고받고 있습니다.

      검사방법

       자기공명영상(MRI) 검사하는 방법은 움직이지 않고 촬영 장치 내에 누워 있으면 되므로 검사를 받는 입장에서는 별다른 어려움은 없습니다. 다만, 폐소 공포증(협소한 공간에 있는 것을 견디지 못하는 증상)이 있는 사람은 자기공명영상(MRI) 검사가 어려울 수도 있습니다. 검사에 소요되는 시간은 질병의 종류나 부위에 따라서 다르지만 대개는 30~50분 정도입니다.

      자기공명영상(MRI) 검사의 한계

       금속 임플란트나 철분이 많은 조직 등 인체 내부에 있는 금속물의 존재는 영상의 품질을 저하시킬 수 있습니다. 또한 일부 검사는 시간이 오래 걸릴 수 있으며, 환자의 움직임이나 호흡 등이 영향을 줄 수 있습니다.
       자기공명영상(MRI) 검사는 첨단의 장비와 기술이 필요한 검사이기 때문에 다른 검사에 비해 고가의 진료용 검사입니다. 그렇기 때문에 검사를 받을 때 반드시 고려해야 할 사항을 충분히 검토하고, 전문가의 의견에 따라 적절한 방법으로 시행되어야 정확한 진단을 받을 수 있습니다.

       

      자기공명영상(MRI)
      자기공명영상(MRI)

       

       자기공명영상(MRI) 검사는 비침습적 성격과 뛰어난 영상 품질로 인해 현대 의학에서 빼놓을 수 없는 진단 수단이 되었습니다. 그러나 안전하고 효과적인 검사를 보장받기 위해서는 의료진의 지시에 따르고, 환자가 자신의 상태를 정확히 알고 있어야 합니다. 이로써 환자 진료에 있어서 정밀하고 세심한 접근이 가능해질 것입니다.