-
목차

CT(computed tomography)-컴퓨터 단층촬영 장비 CT(computed tomography) 정의
컴퓨터 단층촬영(CT)은 일반적인 방사선 검사로는 볼 수 없는 몸의 내부를 보기 위해 시행하는 검사이다.
컴퓨터 단층촬영(CT)은 X선 발생장치가 있는 원형의 큰 기계에 들어가서 촬영하며 단순 X선 촬영과 달리 인체를 가로로 자른 횡단면상을 획득한다. CT는 단순 X선 촬영에 비해 구조물이 겹치는 부분이 줄어들어 구조물 및 병변을 좀 더 명확히 볼 수 있다는 장점이 있다. 그렇기 때문에 대부분의 질환에서 병변이 의심되고 정밀검사를 시행해야 할 필요가 있을 때 기본이 되는 검사법이다.
단면 상을 획득한다는 점에서 MRI와 CT는 공통점이 있지만, MRI는 자기장 내에서 고주파를 전사하여 영상을 획득하고, CT는 X선을 이용하여 영상을 얻는다는 점에서 차이점이 있다. 이전에는 MRI가 횡단면상뿐만 아니라 원하는 단면상의 영상을 자유롭게 획득할 수 있다는 것이 CT에 비하여 장점으로 꼽아졌으나, 최근 들어 다중채널 CT(MDCT, multi-detector CT)가 보급되면서 촬영 후 영상을 재구성하여 MRI처럼 원하는 단면상 및 입체적인 삼차원(3D) 영상도 자유로이 얻을 수 있게 되었다.CT(computed tomography) 검사 종류
컴퓨터 단층촬영(CT)은 복부 컴퓨터 단층촬영(CT), 뇌 컴퓨터 단층촬영(CT), 부비동 컴퓨터 단층촬영(CT), 심장 컴퓨터 단층촬영(CT), 흉부 컴퓨터 단층촬영(CT), 척추 컴퓨터 단층촬영(CT) 등이 있다.
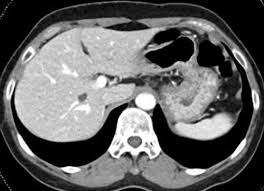
Abdomen CT-복부 전산단순촬영은 복부 소화기 질환, 외상성 출혈, 복수, 종양의 유무 등을 진단한다. 또한 비침투적이면서도 췌장 종양, 염증, 물혹, 복수, 간경화증의 정확한 진단을 할 수 있는 유용한 검사이다.
Chest CT-흉부 컴퓨터단층촬영은 종양, 결절, 동전형 병소, 낭포, 가슴막 삼출, 비대 된 림프샘 등의 병리적 상태를 진단 할 수 있는 검사이며, 폐실질 질환, 기관지 질환, 종격동 질환, 림프절 전이 등을 진단하는 검사이다.
Brain CT-뇌 컴퓨터단층촬영은 머리뼈 내 신생물, 대뇌 경색, 뇌실의 위치이상, 뇌실 크기의 증대, 피질의 위축, 대뇌 동맥류, 두개내출혈과 혈종 및 동정맥 기형 등을 진단하는 데 사용한다.
Abdomen CT-복부 전산단순촬영 영상 조영 CT 검사 전과 후 주의 사항
검사에 따라 조영제라는 약물을 정맥으로 주사하여 검사를 받는 경우가 있는데, 이러한 경우 가끔 구토증이 유발될 수 있다. 그렇기 때문에 검사 전 조영제 검사에 대해 자세하게 설명해 드리고, 동의서를 작성하여야 한다. 그 외에도 조영제에 대한 과민반응이 있는지 skin test로 확인한 후에 검사를 진행하여야 한다.
조영제 검사 후에는 체내에 있는 조영제를 원활하게 배출시키기 위해 수분을 많이 섭취해 주어야 한다.부작용
컴퓨터 단층촬영(CT) 검사에 따른 부작용의 요인으로는 크게 조영제 주사와 X선 노출에 의한 것이 있다. 주사로 맞는 조영제는 때로 구토, 가려움증, 안면홍조, 어지러움, 두드러기 등 과민 반응을 일으킬 수 있다. 이렇게 조영제 검사에 의한 부작용이 발생하면, 담당 의사나 방사선사에게 이야기하여 적절한 조치를 받아야 한다. 또한 이전 검사 시에 과민 반응이 발생한 적이 있다면 이에 대해서도 검사 전에 담당 의사나 방사선사에게 알려야 한다.
조영 검사 시 사용되는 정맥 조영제는 요오드(Iodine) 성분이 들어 있는 약제로, 이 조영제는 연조직의 X선 흡수도에 차이를 주어 병변과 정상 조직이 잘 구별되게 한다. 그러나 요오드 성분에 대한 과민 반응에 의해 약 70,000~80,000명 중 1명 정도 사망하기도 하는데, 검사의 중요도가 높기 때문에 이러한 위험을 감수하고도 검사와 조영제 주사를 권하는 것이다.
또한 신장 기능이 저하되어 있는 경우 조영제가 일시적으로 신장 기능을 좀 더 저하하는 요인이 되며, 이러한 경우는 검사 시행 전이나 시행 후에 적합한 조치가 필요하다.
컴퓨터 단층촬영(CT) 검사의 경우는 촬영 기법에 따라 2~10mSv 정도 피폭된다. 우리가 일상생활을 하면서도 외계로부터 오는 우주선(cosmic radiation)이나 자연상에 존재하는 방사성 물질에 의해 방사선에 노출되게 되는데, 이러한 양은 일반적으로 연간 약 2~5mSv 정도이다. 고산지대에 사는 경우는 해수면 높이에 사는 사람보다 연간 약 1.5mSv 정도의 방사선에 더 노출되며, 비행기 여행을 하는 경우는 약 0.3mSv 정도의 방사선에 더 노출된다. 이처럼 고도에 따라 우주선에 의한 방사선 노출량이 크게 달라진다. 또 우리가 일상에서 가장 흔하게 노출되는 방사선의 원인은 가정에서 노출되는 라돈에 의한 것으로 연간 약 2mSv 정도의 양이다. 그렇기 때문에 컴퓨터 단층촬영(CT) 검사를 받음으로써 방사선에 노출되는 것에 대한 위험과 검사를 시행함으로써 얻게 되는 이득을 따져 보았을 때, 큰 해를 유발하지 않는 정도의 양이다.
임신 시에 우연히 진행한 방사선 검사의 경우 일반적으로 아이의 성장 발달에 중대한 영향을 미치지 않으며, 중대한 질병의 발생이나 다른 합병증이 유발될 가능성도 작은 것으로 알려져 있다. 하지만 임신 시에 불필요한 방사선 조사는 되도록 피하는 것이 좋으며, 임신하였거나 임신 가능성이 있을 시에는 담당 의사나 방사선사에게 알려야 한다. 부득이한 경우로 검사를 시행할 때는 납으로 만든 치마 등을 착용하여 태아의 X선 조사를 최소화하는 것이 바람직하다.'진단방사선' 카테고리의 다른 글
특수한 조건에서 방사선 진단 (0) 2024.03.07 자기공명영상(MRI) (0) 2024.03.07 진단 방사선의 역사와 정의 , 활용 및 혜택, 그리고 안전 관리 (0) 2024.03.06