-
목차
3차원 입체 조형 치료(3D Conformal Radiation Therapy, 3D CRT)는 방사선치료 기술의 중요한 발전 중 하나입니다. 이 치료 방식은 과학과 의학의 발전을 통해 과거의 2차원 방사선 치료에서 탈피하여, 보다 정교한 방법으로 종양을 대상으로 한 방사선치료를 가능하게 합니다.

3차원 입체 조형 치료(3D CRT) 3D CRT의 개념 및 특징
3차원 입체 조형 치료(3D Conformal Radiation Therapy, 3D CRT)는 선진적인 방사선 치료 기술 중 하나입니다. 이 치료 방법은 컴퓨터단층촬영(CT) 또는 자기공명영상(MRI) 같은 진단 영상을 통해 환자의 몸속 종양과 정상 조직을 입체적으로 재구성하고, 이를 바탕으로 방사선을 정밀하게 조사하는 현대적인 접근법입니다. 이 기술은 환자 맞춤형 치료를 목적으로 하며, 종양에는 최대한의 방사선을 집중시키면서 주변 정상 조직의 손상은 최소화하는 것을 주요 목표로 합니다.
3D CRT의 핵심 특징으로는 정밀한 재구성의 중요성, 방사선 조사의 최적화, 부작용의 최소화 등이 있습니다.
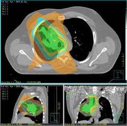
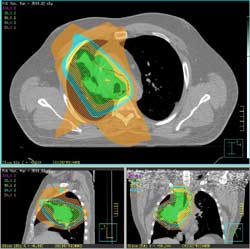
첫째, 정밀한 재구성의 중요성에 관해 설명하자면, CT나 MRI와 같은 진단 영상은 종양 위치와 크기, 주변 정상 조직과의 관계를 정밀하게 파악하는 데 사용됩니다. 이러한 영상 정보를 바탕으로 종양과 정상 조직을 3차원적으로 재구성하게 되며, 이는 치료 계획의 기본이 됩니다. 또한 체적 재구성을 통해 복잡한 형태의 종양에도 방사선을 효과적으로 조사할 수 있는 전략을 수립할 수 있습니다. 정밀한 재구성은 종양에 국한된 방사선 조사뿐만 아니라 주변 정상 조직 손상의 위험을 최소화하는 데 공헌합니다.
둘째, 3D CRT는 범위, 각도, 선량 등 방사선 조사에 관한 다양한 변수를 최적화하여 관리합니다. 이는 방사선 조사 기술의 발전에 힘입어 가능해진 것으로, 섬세한 조절이 가능해져 환자 개개인의 치료 계획에 맞춘 맞춤형 치료가 실행될 수 있습니다. 이렇게 세밀한 조절이 가능한 3D CRT는 방사선의 조사 각도와 위치, 선량을 조절하여 정상 조직의 방사선 노출을 최소화하고 종양 조직에는 충분한 양의 방사선을 전달할 수 있습니다. 이러한 정교함은 치료의 성공률을 높이는 결정적 요소입니다.
셋째, 방사선 선량의 정밀한 제어를 통해 종양에는 적절한 선량을 전달하면서 정상 조직에 미치는 부작용은 최소화할 수 있습니다. 이는 치료 효과를 극대화하고 환자의 삶의 질을 크게 향상하는 요소입니다. 또한 정상 조직의 손상을 최소화함으로써 치료 후의 부작용을 줄이고, 환자의 회복 시간을 단축할 수 있습니다. 이는 환자의 일상 복귀 시간을 단축하고 전반적인 삶의 질을 높이는 역할을 합니다.
3D CRT는 방사선 치료 분야에서 혁신적인 전환점을 마련한 기술로, 뛰어난 치료 효과와 환자 맞춤형 치료를 가능하게 하는 중요한 방법론입니다.
3D CRT의 임상 적용
3차원 입체 조형 치료(3D CRT)는 다양한 종류의 암 치료에 활용되는 첨단 방사선치료 기술입니다. 뇌종양, 전립선암, 폐암 등 다양한 암에서 높은 치료 효율을 보이며, 이는 초정밀 영상 진단 장비를 통한 정밀한 재구성과 치료 계획 수립 덕분입니다.
3D CRT의 임상 적용의 예로는 여러 가지가 있습니다. 3D CRT는 뇌종양의 치료에도 적용됩니다. 뇌종양의 위치와 크기를 정확하게 파악하여 치료 계획을 수립하고, 종양에 집중적으로 방사선을 조사함으로써 종양을 효과적으로 제거합니다. 또한, 주변의 중요한 구조에는 최소한의 영향을 미치도록 조사 계획이 설계됩니다.
또한 폐암 치료에서도 주변 정상 폐 조직의 손상을 최소화하면서 종양에 방사선을 정밀하게 조사하는 것이 필수적입니다. 이를 위해 입체적 방사선 치료(3D CRT)와 같은 고급 방사선 치료 기법이 사용됩니다. 해당 방법은 정밀한 이미지 처리 기술을 활용하여 종양의 형태와 위치를 정확히 판단하고, 이를 기반으로 방사선 치료 계획을 세웁니다. 이를 통해 필요한 부위에만 집중적으로 방사선을 전달함으로써 주변 정상 조직의 방사선 노출을 획기적으로 줄일 수 있습니다.
이러한 3D CRT는 다양한 종양의 치료에 효과적으로 적용될 수 있는 방사선 치료 기술로, 환자에게 안전하고 정확한 치료를 제공합니다. 종양의 특성과 위치를 고려하여 개별화된 치료 계획이 수립되어 종양을 효과적으로 제거하고, 주변 조직에는 최소한의 부작용을 유발함으로써 환자의 치료 결과를 최적화합니다. 이는 환자의 빠른 회복과 높은 치료 만족도로 이어지는 중요한 요소가 되고 있습니다.

3차원 입체 조형 치료(3D CRT) 3D CRT는 방사선 영역에서의 기술 발전을 대표하는 첨단 치료 기법의 하나로, 과학과 의학의 발전을 통해 가능해진 결과입니다. 정밀한 영상 취득과 체적 재구성을 통해 종양에 대한 정확한 치료 계획을 수립하고, 이를 실행함으로써 치료 효과를 극대화하고 있다는 평가를 받습니다. 방사선치료가 필요한 환자에게 정교하고 효율적인 치료 방법을 제공함으로써, 보다 나은 치료 결과를 기대할 수 있습니다.
'치료방사선' 카테고리의 다른 글
강도변조 방사선치료(IMRT) (0) 2024.03.20 4차원 방사선치료(4D RT) (0) 2024.03.17 전산화 방사선 치료 계획 (0) 2024.03.17 모의치료 (0) 2024.03.14 토모테라피(Tomotherapy) (0) 2024.03.11